The hardest substance in your body is not bone, it’s enamel. Thin as a fingernail yet built to last a lifetime, tooth enamel does a mighty job protecting against decay, sensitivity, and stains so you can eat, drink, and smile with confidence.
The challenge is, enamel erosion happens gradually and without warning. Everyday acids in food and drinks slowly soften enamel’s surface. You may not feel it until that sharp twinge from something hot, cold, sour, or sweet reminds you that even enamel has its limits. By the time you feel the loss, the damage is already done.
Catching enamel wear early can make all the difference. Here’s how to spot the warning signs, understand what’s causing them, and learn how to protect your smile before the damage becomes permanent.
1. Tooth sensitivity that won’t go away
Do you feel a sharp jolt when eating something hot, cold, or sweet? That’s often the first red flag.
Enamel acts as your tooth’s natural armour, protecting the sensitive inner layer called dentine. Dentine is full of microscopic tubes that lead straight to the tooth’s nerve centre. When enamel starts thinning or eroding, these tiny pathways are exposed. As a result, temperature changes or certain foods can trigger discomfort that feels like a quick shock or ache.
If you’re noticing this type of ongoing sensitivity, don’t dismiss it as something that just comes with age. Persistent sensitivity usually means your enamel is under stress, and catching it early can prevent more serious problems down the track.
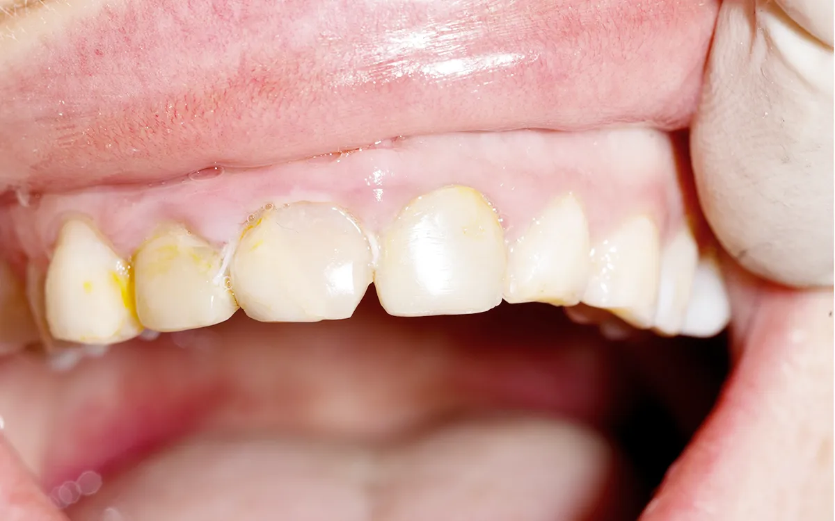
2. Teeth that look more yellow or dull
Have your teeth started to look a little more yellow lately, even after regular brushing? That could be a sign your enamel is thinning.
Healthy enamel is naturally translucent, allowing some of the underlying dentine to show through. Dentine has a yellowish tone, so as enamel wears down, that colour becomes more visible. It’s not necessarily staining; it may simply be your tooth’s inner layer showing through.
You may also notice that your teeth appear duller or less glossy. That natural shine you see on healthy teeth comes from the smooth enamel surface. When acid erosion or daily wear gradually thins that layer, the surface loses its lustre and begins to look more matte or uneven.
3. Rough, uneven, or “sandpapery” edges
Try running your tongue along your front teeth — do they feel smooth, or a little rough around the edges? That gritty, uneven texture can be a sign your enamel is starting to wear down.
When enamel erodes, the biting edges of your teeth can become thinner, chipped, or slightly jagged. This kind of wear is often caused by mechanical stress — things like brushing too hard, clenching or grinding your teeth (a condition known as bruxism), or even frequent exposure to acidic foods and drinks that soften the enamel surface.
Over time, you might notice those edges appearing a little translucent or worn — a subtle but important clue that your teeth are losing their protective layer.
4. Small cracks or cupped areas on the surface
When enamel starts to weaken, it loses its ability to absorb everyday stress from chewing and biting. Over time, you might notice fine cracks, tiny pits, or shallow dents (known as “cupping”) forming on the chewing surfaces of your back teeth.
These small imperfections may seem harmless at first, but they can trap food particles, plaque, and bacteria — creating the perfect environment for tooth decay to develop. They’re also a visible sign that your enamel has lost some of its mineral strength and is no longer as resilient as it should be.
If you spot these early changes, it’s best to have them checked by your dentist. With timely care, you can prevent further erosion and protect the remaining enamel from more serious damage.
5. Increased tooth sensitivity to acidic or sweet foods
If you’ve started steering clear of citrus fruits, soft drinks, or sweets because they make your teeth ache, it could be another warning sign that your enamel is thinning.
Acids and sugars are two of enamel’s biggest enemies. Acidic foods and drinks gradually soften the enamel surface, while sugars feed the bacteria in your mouth — producing more acid in the process. When that protective layer becomes worn or weakened, your teeth can react painfully to anything acidic, sweet, or even salty.
This kind of sensitivity usually means your enamel is no longer providing the strong barrier it once did. The sooner you have it checked, the better your chances of stopping the wear before it leads to lasting damage.
6. Changes in tooth shape or size
Have you noticed your teeth looking a little shorter, thinner, or more rounded than before? That could be a sign of advanced enamel erosion.
As enamel gradually wears away, the edges of your teeth can lose their original shape. For people who grind or clench their teeth — often during sleep or times of stress — this process can happen even faster. The constant friction slowly files down the enamel, making teeth appear uneven or slightly smaller.
Beyond appearance, enamel loss can also affect how your teeth fit together when you bite or chew. Over time, this can cause uneven wear or even mild jaw discomfort — all signs that your enamel needs a bit of professional attention.
What causes enamel to wear down?
Tooth enamel may be tough, but it’s not indestructible. Over time, a mix of daily habits, dietary choices, and certain health conditions can slowly erode it — often without you realising. Here are some of the most common culprits:
- Acidic foods and drinks – Citrus fruits, soft drinks, vinegar-based dressings, and wine are some of the biggest contributors. Acids soften enamel, making it more prone to wear from brushing or chewing.
- Aggressive brushing – Brushing too hard or using a hard-bristled toothbrush can actually scrub away enamel over time. A soft brush and gentle circular motion are all you need to keep teeth clean.
- Teeth grinding (bruxism) – Constant grinding or clenching, especially during sleep, puts immense pressure on your teeth and wears enamel faster than normal chewing.
- Dry mouth – Saliva helps neutralise acids and wash away food particles. When saliva flow decreases — whether from dehydration, medications, or mouth breathing — enamel becomes more vulnerable.
- Acid reflux or frequent vomiting – Stomach acids are highly corrosive and can cause significant enamel loss if they frequently reach your mouth.
- Poor oral hygiene – Plaque that isn’t properly cleaned off produces acids that gradually weaken and demineralise enamel.
While some enamel wear is natural as we age, too much too soon is a sign that your teeth need protection — and possibly a few lifestyle tweaks to keep them strong.
What your dentist can do to save your enamel
If you suspect your enamel is wearing thin, your dentist is your best ally in stopping it from getting worse. During your visit, they’ll assess the extent of the wear, identify what’s causing it, and recommend the most suitable treatment to protect your teeth.
Depending on your situation, your dentist may suggest:
- Fluoride treatments or remineralising gels – to help strengthen weakened enamel and rebuild lost minerals.
- Dental bonding or veneers – to restore the appearance of worn teeth while shielding exposed areas from further damage.
- Custom-made night guards – for patients who grind or clench their teeth, especially during sleep.
- Personalised oral care advice – to adjust brushing habits, diet, or other lifestyle factors that may be contributing to enamel erosion.
Catching enamel wear early allows your dentist to step in before it leads to sensitivity, cavities, or structural damage. With the right care plan, you can keep your teeth strong, smooth, and protected for the long term.
Protect your enamel for life
Once enamel is gone, it can’t grow back. However, with the right care, you can protect what you have and keep your smile strong for life.
Here are a few simple habits that make a big difference:
- Brush gently using a soft-bristle toothbrush.
- Use fluoride toothpaste to help strengthen your enamel.
- Rinse with water after eating or drinking anything acidic.
- Limit snacking between meals to give your teeth time to recover.
- Stay hydrated to keep your saliva flowing and neutralise acids.
- See your dentist regularly for professional check-ups and cleaning.
Think of your enamel as irreplaceable armour. It’s strong, protective, and worth looking after, but once it’s lost, it can’t be restored naturally. Staying mindful in your habits, including putting regular dental visits as a high priority, can help keep your smile healthy, bright, and pain-free for many years to come.
No room to skip a check-up
If you’ve noticed any signs of thinning enamel, be that sensitivity, yellowing, or rough edges, it’s worth getting checked. Once enamel is gone, it doesn’t return. Your dentist can quickly help you understand what’s happening beneath the surface, and let you know how to protect your enamel right away.
It’s like this. Your enamel works tirelessly to protect your teeth. Now’s your turn to return the favour with a bit of care, attention, and professional support. Do this right and you can keep your smile strong for many years to come.





