Case Study
From white spots to wow with resin infiltration & composite veneers
Gentle, minimally invasive smile transformation

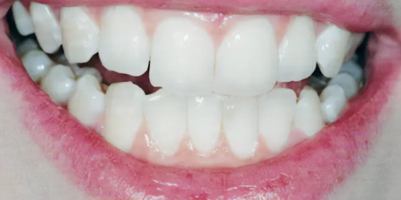
Patient’s concern
When Harper (name changed for privacy) came to see us, she shared a story we hear often—one that many young adults can relate to. Her biggest concerns were:
- White spots on her teeth: These chalky, uneven patches made her teeth appear unhealthy, even though they were structurally sound.
- Short front teeth (teeth 12 to 22): Her upper front teeth appeared small and slightly uneven in length, which made her smile look less balanced.
- Small gaps between her front teeth: These spaces added to her feeling of self-consciousness about her smile.
Harper wanted a conservative, non-invasive solution to improve the appearance of her teeth while keeping them looking natural and healthy.

White spots on teeth
White spots, like Harper had, are usually a sign that the enamel has lost some of its strength—often from things like:
- Early-stage decay
- Fluorosis
- Orthodontic treatment history
- Enamel hypoplasia (underdeveloped enamel)
These areas are porous and scatter light differently, which is why they appear white compared to the rest of the enamel. While they aren’t always harmful to oral health, they can be very noticeable and aesthetically concerning.
Our treatment plan
To tackle the white spots, we started with resin infiltration—a gentle, no-drill technique that improves the look of chalky patches without removing healthy enamel. It’s minimally invasive, highly effective, and perfect for preserving Harper’s natural tooth structure.
How it works:
Before the resin can be applied, the outer surface of the enamel is prepared using a mild etching gel. This step gently opens microscopic pores in the white spot lesions. These tiny channels allow the low-viscosity resin to penetrate deeply into the porous enamel.
Once the surface is properly conditioned:
- The infiltrating resin is applied to the tooth surface.
- It seeps into the porous white areas, filling them from within.
- After curing (hardening) the resin with a blue LED light, the treated area reflects light more evenly, just like the surrounding healthy enamel.
Why we recommended this for Harper:
- NNon-invasive (no drilling)
- NPreserves healthy enamel
- NImmediate improvement in appearance
Harper’s front teeth (numbers 12 to 22) were shorter than ideal and had slight gaps. Rather than opting for more invasive treatments like porcelain veneers or orthodontics, we recommended composite veneers as a conservative and highly effective solution.
Composite veneers involve layering tooth-coloured resin directly onto the teeth. This material is artistically shaped, contoured, and polished to improve the size, shape, and overall appearance of the teeth.
Benefits for Harper:
- NLengthened the short teeth for a more balanced smile line
- NClosed the small gaps for a more uniform look
- NMatched the natural tooth shade for seamless integratio
Composite veneers are ideal for cases like Harper’s, where small cosmetic adjustments can have a big impact, all while preserving the natural tooth underneath.

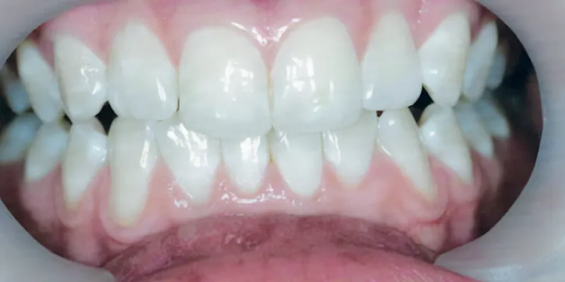
Natural results, gentle treatments

After completing the treatment:
- White spots were dramatically reduced, leaving Harper’s teeth looking healthier and more uniform in colour.
- Front teeth were lengthened and the spaces closed, creating a balanced, proportionate, and natural-looking smile.
Harper now enjoys a more confident smile, knowing her teeth look as healthy as they feel.
What’s possible for your smile
If you’re concerned about issues like white spots, short teeth, or small gaps, it’s important to know that modern dentistry offers gentle, effective, and minimally invasive solutions. Treatments such as resin infiltration and composite veneers can transform the appearance of your teeth—often in just one or two visits—while preserving as much of your natural tooth structure as possible.
These techniques don’t just boost your smile’s appearance—they also help protect your long-term dental health by preserving as much natural enamel as possible.
Consult your dentist
Every smile is unique. If you’re unsure about your options, your best move is speaking with a trusted dental professional. Your dentist can provide a thorough assessment and recommend solutions tailored to your needs, goals, and the natural features of your smile.
With the right care, a healthier, more confident smile is well within reach. So, reach out and let’s begin exploring your transformation!