Case Study
Professional Cleaning & Gum Therapy
Achieving healthier gums and a cleaner, brighter smile

Patient profile
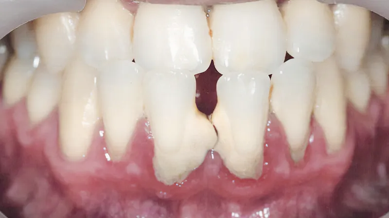
Josh came to TC Dental hoping to improve the health and appearance of his smile. Our examination revealed thick tartar deposits covering his lower front teeth, particularly across the natural gap between his incisors. The buildup had contributed to gum inflammation, redness, and bleeding during brushing, as well as visible plaque that further affected his oral health.

Clinical findings
- Heavy calculus deposits: A thick layer of tartar had accumulated on the lower central incisors, completely covering the natural gap between the two teeth.
- Plaque retention: Rough tartar surfaces provided an environment for bacteria to thrive, worsening gum inflammation.
- Gum health: The gums appeared swollen and irritated, showing early signs of periodontal (gum) disease.
- Aesthetic impact: The heavy buildup not only affected gum health but also gave the teeth a stained and neglected appearance.
Treatment objectives
- Remove tartar and plaque to restore a clean oral environment.
- Manage gum inflammation and support the healing of periodontal tissues.
- Improve the appearance of the teeth and reveal natural spaces that had been hidden by tartar.
- Provide the patient with education and strategies for long-term oral health maintenance.
Treatment plan
1. Professional scale & clean
Ultrasonic and hand instruments were used to remove heavy tartar deposits from the teeth and along the gumline. Particular attention was given to the lower front teeth, where thick calculus was firmly attached and obscured the natural spacing.

2. Gum disease treatment
Careful subgingival cleaning (below the gumline) was performed to disrupt bacterial colonies contributing to inflammation. Antiseptic rinses were used during the procedure to help reduce bacterial load. The importance of ongoing maintenance visits was discussed to prevent the progression of gum disease.
3. Polish
Once scaling and gum treatment were completed, the teeth were polished to remove surface stains and smooth enamel surfaces. This step reduced plaque retention sites and enhanced the overall appearance of the teeth.
4. Oral hygiene education
Josh was instructed on correct brushing and flossing techniques, with particular emphasis on cleaning between the lower front teeth where tartar had been most severe. Interdental cleaning aids were also recommended to support gum health.
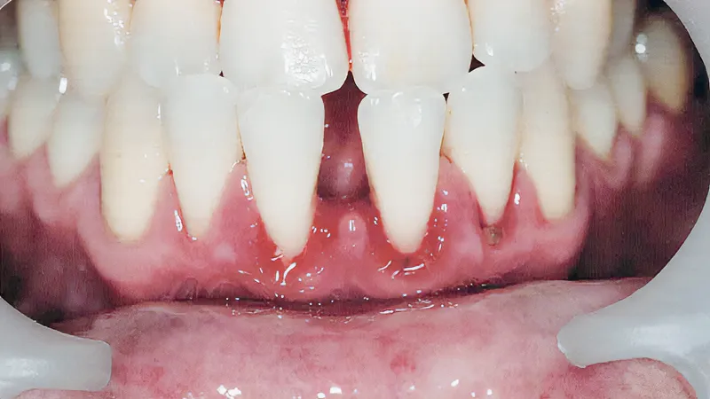
Outcome
After treatment, the thick tartar that had covered the gap between Josh’s lower central incisors was successfully removed, restoring the natural spacing and appearance of these teeth. Gum inflammation reduced noticeably, and the polished surfaces left his teeth looking brighter and cleaner. With continued home care and regular professional maintenance, Josh’s gum health is expected to stabilise and improve further over time
