Case Study
Internal Bleaching & Composite Veneers
Correcting discolouration and restoring a natural, symmetrical smile.
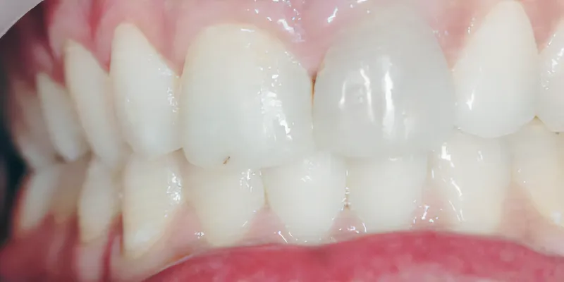
Middle-aged male patient, Mark, came to TC Dental with concerns about how his upper front teeth looked. His main issue was with tooth 21, which had gradually become discoloured to the point where it affected the visual uniformity of his smile.
Clinical Findings
- Tooth 21: Mark presented with significant internal discolouration, making this tooth noticeably darker than the neighbouring teeth.
- Teeth 11 and 21: Together, the two central incisors showed uneven colour and lacked symmetry, disrupting the overall balance of his smile.
Treatment objectives
- Lighten and restore a natural shade to tooth 21.
- Enhance the harmony and symmetry of the upper front teeth.
- Achieve a conservative, long-lasting, and natural-looking result while preserving healthy tooth structure.
Treatment plan
Following a thorough assessment and discussion, the recommended approach involved two key steps:
- Targeted treatment was carried out to address the intrinsic discolouration inside the tooth.
- A professional whitening agent was carefully placed within the tooth in controlled sessions until a lighter, more natural shade was achieved.
- Both central incisors were conservatively prepared to ensure secure bonding of the veneer material.
- High-quality composite resin was layered and sculpted to replicate the natural form and shade of surrounding teeth.
- The veneers were then polished to achieve lifelike translucency and a smooth, natural finish.
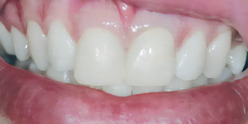
Outcome
By combining internal bleaching and composite veneers, we achieved a brighter, more harmonious smile for Mark. The discolouration of tooth 21 was effectively corrected and the veneers on teeth 11 and 21 improved symmetry and overall aesthetics. Taking a conservative approach, we ensured the restorations blended naturally with the adjacent teeth and preserved healthy tooth structure. Together, these treatments complemented one another to achieve an integrated improvement in colour, symmetry, and overall appearance.
